Dr.Geishy
B.D.S. Cairo university
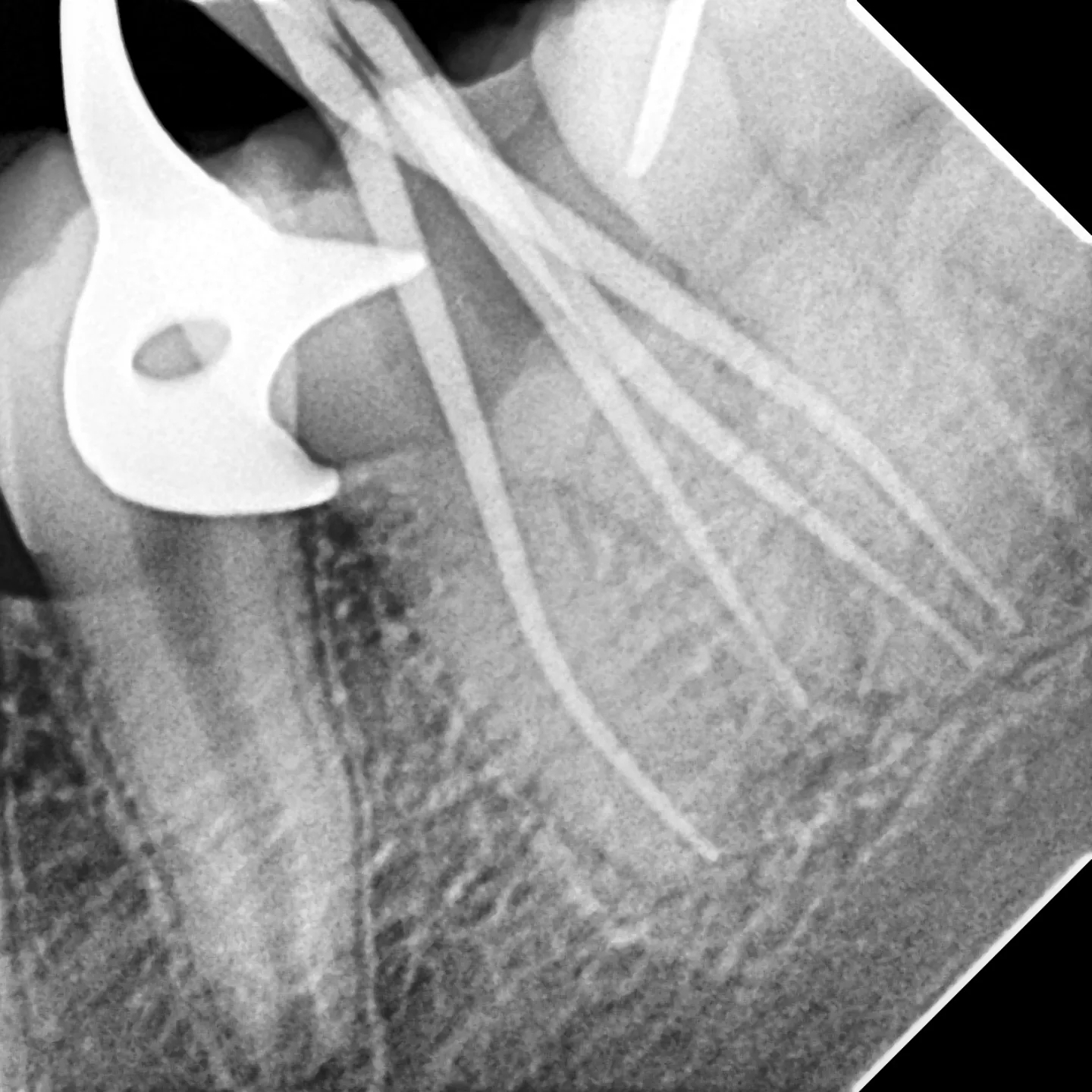
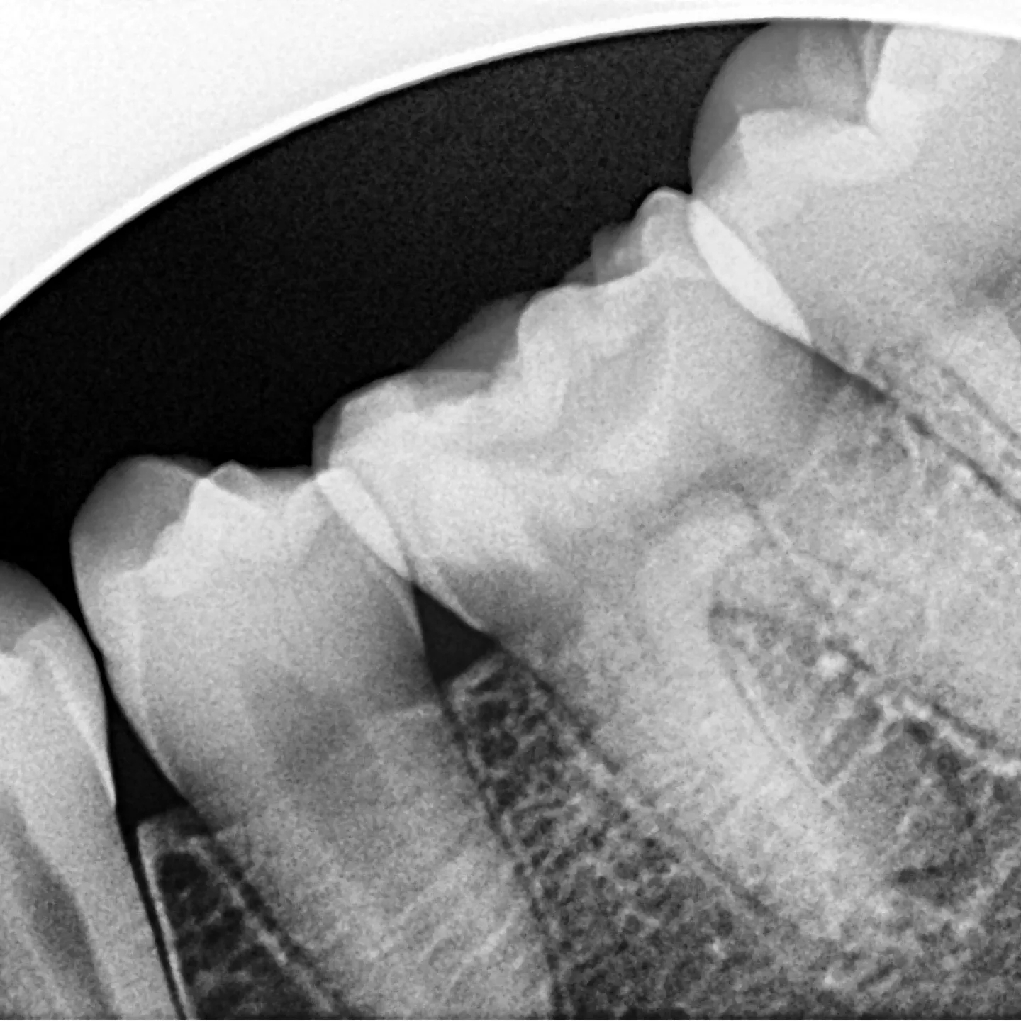
endodontics lower 6
Newer Post
Older Post
Home
Followers
Author Profile
Dentist Mohamed AlGeishy
View my complete profile
Popular
Multiple class V
Tags
Aesthetic
(16)
Endodontics
(12)
Exodontia
(1)
Powered by
Blogger
.
Report Abuse
Search This Blog
Comments
Social Plugin
facebook
whatsapp
instagram
youtube
Link List
Home
About
Contact us
Privacy Policy
Popular Posts
Aesthetics direct overlay
Endodontics upper 5
Endodontics upper 6
Endodontics perio-endo lower 7
Pages